
炭疽桿菌。(維基百科)
炭疽桿菌一種棒狀的革蘭氏陽性菌,長約1至6微米,這種細菌通常以內孢子之型態出現在土壤中,並可藉此狀態存活數十年之久,一旦由牲畜攝入,孢子便開始在動物體內大量複製,最後造成死亡,隨後於屍體中仍能繼續繁殖,而當細菌將宿主養分用盡,又將重回睡眠態的孢子。
歷史
德國醫師兼科學家羅伯·柯霍(Heinrich Hermann Robert Koch)首先於1870年分離出造成炭疽病的細菌,此項研究亦於十九世紀後期,首度證明微生物具有造成疾病的能力,在一系列開創性的實驗中,他揭開炭疽桿菌的生活史和傳播途徑,不僅增進醫學對炭疽的認識,更闡明微生物在疾病中所扮演的重要角色,在當時科學界,卻認為生命的來源,在自然發生論和細胞理論之間爭論不已。柯霍進一步研究其他疾病致病機轉,於1905年因研究結核桿菌獲得諾貝爾生理學或醫學獎,因此今日生物相關學科將羅伯·柯霍視為細菌學之父。
炭疽病罕見於人類,偶發於牛隻、綿羊、山羊、駱駝和羚羊等反芻動物,由存在於世界各地土壤中的炭疽桿菌造成,較易發生在沒有公共獸醫計畫的發展中國家,相對來說,北美、西歐、北歐、澳大利亞僅發生過零星案例,目前已分離出至少89株的炭疽桿菌,最為人所知的品系乃是2001年美國炭疽攻擊事件使用之Ames株,這一型炭疽又稱為肺炭疽。而1935年從英國牛隻分離出的Vollum株也可用作生物戰劑,曾是1960年代英美兩國生物戰劑計畫的研究對象,至於毒性較弱的Sterne株,則可作為疫苗使用。
2006年7月,一位英國藝術家因接觸未經處理之動物皮革,成為該國30年來首位死於炭疽的病人。
感染過程
炭疽可透過消化道、呼吸道、皮膚接觸等途徑進入人體,但人與人之間傳染則較為罕見。
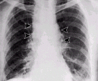
肺(呼吸)炭疽病

肺炭疽病人X光攝影,可見局部腔室擴大。(維基百科)
腸胃炭疽病
腸胃道受感染將伴隨諸如嘔血、嚴重腹瀉、急性腸炎、食慾不振等症狀,不治療致死率達100%。
皮膚炭疽病

皮膚炭疽病焦黑似炭的模樣。(維基百科)
炭疽孢子先被侷限並且受到免疫系統專門用來對付侵入者的吞噬作用吞食,在吞噬細胞內,孢子轉變為桿菌,開始大量複製並且最後脹破被寄生的細胞,釋放大量細菌進入血液循環,並釋放具有三部分的毒素,包括保護細菌的莢膜成分、炭疽毒素、水腫因子及致死因子,攻擊許多特定的細胞和組織。
研究者認為致死因子可能造成巨噬細胞製造過多的腫瘤壞死因子α和第一介白質β,這兩種免疫系統經常用來引發發炎反應的介質,最終導致敗血性休克、甚或死亡;然而近年研究證據指出,炭疽桿菌也會針對血管最內層的內皮細胞,造成類似出血的血管細縫,將可進一步成為缺血性休克,而非敗血性休克。
治療
炭疽感染和其他細菌性感染的治療包括高劑量靜脈注射和口服抗生素,例如青黴素、環丙沙星、四環黴素、紅黴素、和萬古黴素,以肺炭疽為例,卻唯有在暴露於病原體後一天之內施用抗生素,才能有顯著效果,而以抗生素預防法防止病人死亡對肺炭疽而言則是極為關鍵的程序,否則以其快速的病理進展,將難以避免病人死亡,而目前已發現具抗藥性的菌株。
疫苗注射
1881年5月,法國人路易·巴斯德進行一項公開的實驗,為了宣揚疫苗的概念,他準備兩組各25隻綿羊,其中一組都注射自製抗炭疽疫苗兩次,兩次間隔15天,另一組綿羊則無注射疫苗。注射組綿羊群再第一次接受注射之後30天,兩組綿羊都施打活體炭疽桿菌,有注射疫苗之綿羊全部存活,而未曾施打疫苗的綿羊無一倖免於死。證明此項疫苗效果後,巴斯德繼而應用在狂犬病疫苗的研發,日後更發展出水痘、霍亂、豬丹毒等疫苗。唯需注意的是,路易·巴斯德乃是第一名發展出針對炭疽病疫苗,並非第一位發明疫苗的學者,美國食品藥品監督管理局目前認可的疫苗,來自無毒性的菌株,由Emergent BioSolutions企業群下的BioPort子公司研發,商品名稱為BioThrax,但慣用俗稱為炭疽吸附疫苗(Anthrax Vaccine Adsorbed,AVA)第一次注射後起算,第二、第四週及第六、十二、十八個月,共需注射六劑疫苗,往後每年仍須追加註射,以維持對炭疽桿菌的免疫力。
阻擋病原體
空氣懸浮之芽孢可用HEPA濾器過濾,或是P100濾器阻絕,此外,全罩式面罩加上適當過濾功能,也能避免吸入炭疽病原,而皮膚若無傷口,受到污染時僅需以清水和清潔劑洗去。
監測器
因應透過郵件引發恐慌的2001年美國炭疽攻擊事件,美國郵政服務USPS建立一套生物監測系統,並且聯合消防、警察、醫療和公共衛生等機構,架構出完整的防範措施。
生物戰爭
要培養出可用的炭疽芽孢僅需少量的簡單器材,以及大學一年級學生的微生物學知識即可,但要製作成粒子狀懸浮顆粒,需要更精密的訓練和進階的儀器。膨潤土是少數幾種可以減少芽孢顆粒之間靜電力吸引的物質,因此也會使其更易於懸浮飄散。炭疽致死率高,因此炭疽芽孢曾多次被用作生物戰爭的武器,最早可溯源至第二次世界大戰。日本運用130公斤的炭疽桿菌,在中國透過731部隊進行人體試驗。
1942年,英國和美國曾藉實驗之名義,在英國蘇格蘭地區的格魯伊納島使用炭疽研發生物武器,造成4公頃土地之污染。
1942年4月,日軍在侵華戰爭中對浙贛地區實施細菌戰,導致大量平民感染炭疽和鼻疽傷亡,預計傷亡人數至少在50萬以上。
1978年,羅德西亞政府曾於黑人國家主義者對戰時使用炭疽在牛和人身上。
1979年,前蘇聯的某軍事研究中心自實驗室外洩至附近數公里內的斯維爾德洛夫斯克發生肺炭疽流行,造成68人死亡,是史上最大一次人群中的炭疽流行,由於該次事件死者全為男性,引發西方國家猜測蘇聯政權已研發出性別專一的武器,而蘇聯政府則公開指責事件肇因於食用不潔之肉品,並下令射殺所有流浪狗,也有一項專為18至55歲居民而設的自願撤離計畫。為自圓其說,蘇維埃醫療、法律期刊則刊載成一次誤食肉類所致之人類腸胃炭疽以及誤觸病畜造成人類皮膚炭疽的事件,所有相關醫療和公共衛生紀錄都由蘇聯國家安全委員會沒收。1986年,美國政府獲准介入調查,發現此次事件肇因於來自軍事武器工廠的吸入性炭疽。1992年,俄羅斯總統葉爾欽聲稱他「萬分確定」蘇聯於違反1972年生物武器公約一事屬實,終於將相關內容提交至聯合國,但實際上僅公佈軍事工廠資料,毫無生物武器的任何訊息。
1990年,伊拉克於波斯灣戰爭威脅使用此項細菌武器,並附加在炸彈、飛彈等武器中。
1993年,日本國內真理教人士,亦曾利用炭疽製造恐怖事件,雖未成功,卻引發全日本的恐慌。事實上有十餘個國家軍事工廠都擁有這種病菌,仰賴分子生物學的進步,此項生物武器得以改良戰爭效果,前蘇聯甚至製造出多重抗藥性的菌種,以及毒性更強大的變異品系。
生物恐怖主義者,曾於2001年透過郵件,寄送高品質的炭疽芽孢粉末到美國,這些事件還誘發多起類似的惡作劇,後續有高中生進行科學實驗,發現加熱至華氏400度以上(也就是攝氏200度以上),5分鐘以上即可破壞普通信封中的炭疽芽孢。
(資料來源:維基百科)